歯周病・インプラント専門医在籍|品川区戸越の歯医者|「医療法人社団 TND 戸越なかやま歯科」|これまでの治療実績

03-6426-7508

【平日】9:30~13:00/14:30~19:00
【土曜】9:30~13:00/14:00~17:00
【休診日】木曜・日曜・祝日

LINEでの予約

WEB診療予約

これまでの治療実績

  • TOP
  • これまでの治療実績

caseこれまでの治療実績

初回再生療法時

歯周組織再生療法後6ヶ月時のリエントリー時

2025.09.16

歯周組織再生療法||セメント質剥離による重度骨吸収に対して行った歯周組織再生療法

歯根破折を伴い大きな骨吸収と歯肉退縮を認めている

垂直的な骨造成と歯肉移植により良好な結果を得た

2025.09.06

インプラント治療||垂直性重度骨吸収に対してGBRを行ったケース

初診時:左上2番欠損に対してブリッジ作製希望で来院

審美的で自然感のあるブリッジを装着

2025.05.19

歯肉退縮症||ブリッジ作成前の歯肉移植による審美回復

初診時

メインテナンス時

2025.05.16

歯周組織再生療法||温存困難な重度歯周炎に罹患した臼歯部への対応

治療後:6前歯のジルコニアセラミック修復

治療前:歯肉の炎症が顕著

2025.02.11

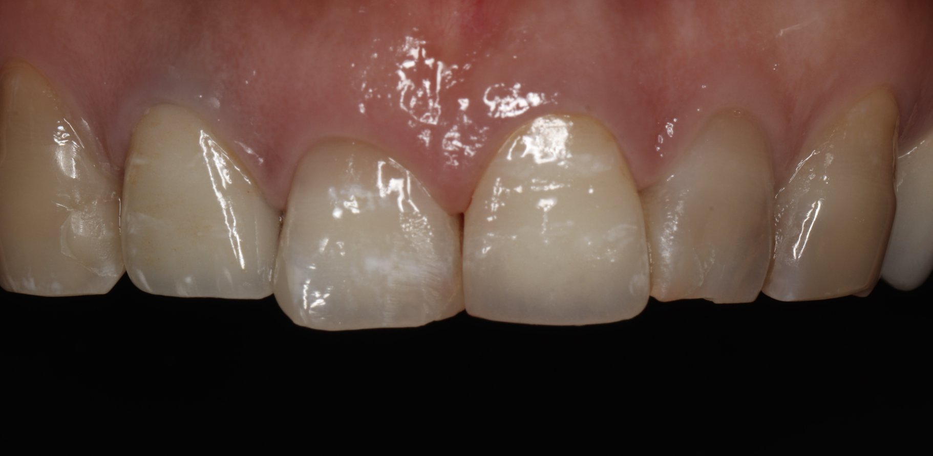
前歯部6本にジルコニアセラミックで審美修復したケース

初診時の口腔内写真

メインテナンス時の口腔内写真

2022.12.30

重度歯周病治療||歯科衛生士による歯周基本治療のみで治癒

治療後

治療前

2022.10.10

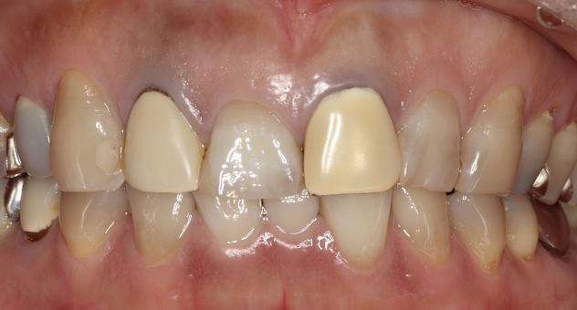
上顎側切歯にジルコニアセラミックを用いて審美回復をしたケース

初診時のデンタルエックス線写真

再生療法後のデンタルエックス線写真

2022.09.22

歯周組織再生療法||マイクロスコープを使用した低侵襲な再生療法 Entire Papilla Preservation Technique

トップに戻る

LINE予約では以下医院コードが必要となりますので必ずお控えください。

STEP1

w00072409

?医院コードを
コピーしました

STEP2
LINE予約QRコード

QRコードでLINEの友達を追加

LINEアプリの友達タブを開き、画面右上にある友達追加ボタン>[QRコード]をタップして、コードリーダーでスキャンしてください。

友だち追加

LINEに移動する

友だち追加

LINEに移動する

当日・翌日予約をご希望の場合は、
お電話にてお問い合わせください。
※予約フォームからは2日後以降のご希望受付となります