審美治療
治療前
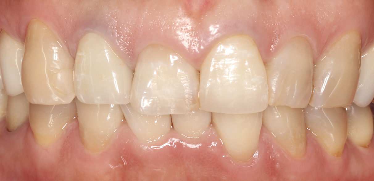
治療後
こんにちは。
今回は、前歯の審美歯科治療(ジルコニアセラミック)症例をご紹介します。
「前歯の差し歯の色が気になる」
「セラミックにしたのに不自然に見える」
「前歯を自然な見た目に治したい」
このようなお悩みでご相談いただくケースは少なくありません。
患者さまは、以前入れた前歯の被せ物(差し歯)の
-
色が周囲の歯と合っていない
-
白すぎて浮いて見える
-
透明感がなく不自然
といった点を気にされていました。
前歯はお顔の印象を大きく左右するため、
わずかな色調や形態の違いでも目立ってしまいます。
Case作製していただいたクラウン

ジルコニアレイヤリング

クラウン装着後5年経過時
■ 前歯の審美歯科治療で大切にしていること
当院では前歯のセラミック治療において、
-
周囲の歯との自然な色調の調和
-
歯肉とのバランス(歯ぐきとの境目)
-
長期的に安定する補綴設計
を重視しています。
見た目を白くするだけの審美歯科ではなく、
機能と自然な美しさの両立を大切にしています。
| 主訴 | 前歯の見た目が気になる |
|---|---|
| 治療内容 | 最終的なジルコニアセラミックを装着する前に、 この期間に、
を丁寧に行います。 前歯の審美歯科治療では、 |
| 患者様の年齢 | 54歳 |
| 患者様の性別 | 女性 |
| 治療期間 | 6ヶ月 |
| 治療費 | 30万円 |
| 治療で得られるメリット | 今回は、ジルコニアフレーム+ポーセレンレイヤリングで製作しました。 ジルコニアは、
という特徴があります。 さらに表面に陶材を築盛(レイヤリング)することで、
を再現することができます。 その結果、前歯が周囲の歯と自然に馴染み、 |
| 治療する際に起こるリスク・副作用 | 治療回数が少し多くなる(仮歯における歯肉の調整などが必要なため) |



